Welcome

Dental Rehabilitation Center

ABOUT US

At the DRC, we make sure to offer our patients the most comfortable experience, with the most reasonable and affordable budget and an evidence-based approach in our treatment protocols...
With over 14 years of extensive experience inside and outside the country, we try to use our knowledge..
Read more >

Values

Integrity
Credibility / realistic solutions
Honesty
Trust / confidence
Long term results
Passion for dentistry
High quality
Patient centered care

OUR DOCTORS

Dr. Abdelmagid El-Kaissi
DDS and MSc in Periodontology and implant surgery with over 14 years of experience, more than a 1000 implants placed and more than 200 full mouth rehabilitation cases under general anesthesia…
Private practice in Beirut and Tripoli and manager of DRC (dental rehabilitation center), limited to periodontology and implant surgery
Education:
Master degree in periodontics and implant..
Dr. Rayane Alameddine
Degrees: Doctor in dental surgery, DDS in 2005
Master degree in fixed and removable prosthodontics in 2008/2009
Professional experience: Private practice consisting of 6 dental clinics, in Riyadh Saudi Arabia, 2008 to 2010; Non for profit organization, Sultan Bin Abdul-Aziz Humanitarian City (SBAHC) in the dental department consisting of 10 dental clinics with a referral system and an..

Appointment Booking

!
!
!
!
?
Patients’ rights and responsibilities
READ MORE

Services

A regular cleaning focuses on the surfaces of the teeth and between teeth above the gum line. During a regular cleaning, the teeth are also polished. A dental deep cleaning, or scaling and root planning, is needed in order to remove bacteria, calculus (tartar), and debris that have collected under the gum line. As a prevention measure, you should follow the maintenance program that your doctor will recommend according to your specific periodontal health status

A dental restoration or dental filling is a dental restorative material used to restore the function, integrity and morphology of missing tooth structure. The structural loss typically results from caries or external trauma. It could also help restore directly the esthetic profile of the anterior teeth, as a temporary or final solution, before going for full esthetic crowns

If pulp inflammation or infection is left untreated, it can cause pain or lead to an abscess. During root canal or endodontic treatment, the inflamed or infected pulp is removed and the inside of the tooth is carefully cleaned and disinfected, then filled and sealed with a rubber-like material called gutta-percha

This procedure is called chairside bleaching and usually requires only one office visit. The dentist will apply either a protective gel to your gums or a rubber shield to protect your gums. Bleach is then applied to the teeth. Sometimes we can even give the patient additional trays to put some bleaching material at home with less intensity and purpose to maintain the shade, this is called home bleaching

Both crowns and most bridges are fixed prosthetic devices. Unlike removable devices such as dentures, which you can take out and clean daily, crowns and bridges are cemented onto existing teeth or implants, and can only be removed by a dentist. A crown is used to entirely cover or "cap" a damaged tooth.

A zirconia crown is a popular type of all-ceramic crown which is worn to improve the appearance of a tooth which has become stained or disfigured over the years. They are durable, easy to wear and long lasting.

Porcelain veneers are thin pieces of porcelain used to recreate the natural look of teeth, while also providing strength and resilience comparable to natural tooth enamel. It is often the material of choice for those looking to make slight position alterations, or to change tooth shape, size, and/or color.

Tooth extraction is the removal of a tooth from its socket in the bone. If a tooth has been broken or damaged by decay, your dentist will try to fix it with a filling, crown or other treatment. Sometimes, though, there's too much damage for the tooth to be repaired. In this case, the tooth needs to be extracted. Sometimes a tooth is impacted inside the jaw bone and needs to be removed surgically because of some damaging effects on the neighboring teeth.

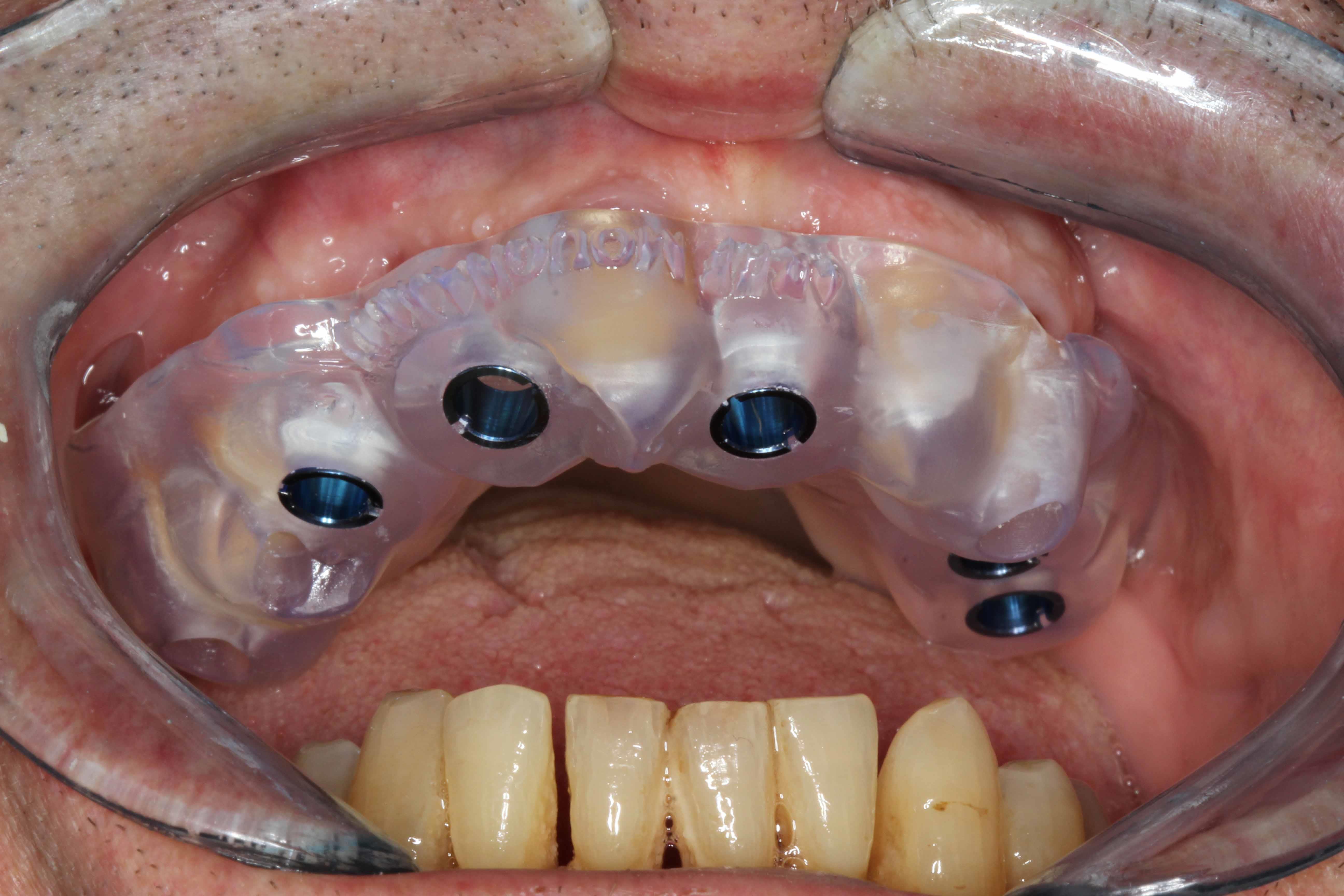
A dental implant is an artificial tooth root that is placed into your jaw to hold a replacement tooth or bridge. Dental implants may be an option for people who have lost a tooth or teeth due to periodontal disease, an injury, or some other reason

Gummy smile is an excessive display of gum tissue, caused mainly by short teeth, strong muscle pull, or abnormal jaw relation leading to vertical maxillary excess and longer third part of the face; this can be considered non esthetic or unpleasing in many cases and causes psycho-social problems. Depending on the nature of the problem and finding the correct diagnosis, several treatment strategies can be performed: laser treatment in minor cases, surgical lip repositioning, esthetic crown lengthening, orthodontics to move teeth into more suitable positions, and maxillo-facial surgery to reposition the jaw bone

A removable denture, either complete or partial, usually consists of replacement teeth attached to a pink or gum-colored plastic base, to cover the edentulous areas of the jaw. The partial dentures are sometimes connected by a metal framework that holds the denture in place with special rests, clasps and attachments. Partial dentures are used when one or more natural teeth remain in the upper or lower jaw. Complete dentures are eventually for fully edentulous patients with no remaining teeth in the jaws

Bone augmentation is a term that describes a variety of procedures used to "build" bone so that dental implants can be placed. These procedures typically involve grafting (adding) bone or bonelike materials to the jaw. The graft can be your own bone or be processed bone (off the shelf) obtained from a cadaver.

Guided bone regeneration   or GBR, and guided tissue regeneration or GTR are dental surgical procedures that use barrier membranes to direct the growth of new bone and gingival tissue at sites with insufficient volumes or dimensions of bone or gingiva for proper function, esthetics or prosthetic restoration, and help improve the final outcomes of implant therapy

A gingival graft, also called gum graft or periodontal plastic surgery, is a generic name for any of a number of  periodontal  surgical procedures in which the gum tissue is  grafted . The aim may be to cover exposed root surfaces or merely to augment the band of  keratinized  tissue, around teeth and around implants

Maxillary sinus floor augmentation [1]  (also termed sinus lift, sinus graft, sinus augmentation or sinus procedure) is a  surgical procedure  which aims to increase the amount of bone in the  posterior   maxilla  (upper jaw bone), in the area of the  premolar  and  molar   teeth , by lifting the lower  Schneiderian membrane  (sinus membrane) and placing a bone graft. It could be done either simultaneously with implant placement or the implant is placed in a staged approach depending on the initial situation of sub-sinus bone volume

Full mouth   reconstructions combine esthetics with the science of restorative dentistry to improve the health, function, and beauty of the mouth. In general, any dental treatment that affects all teeth in the mouth is called full mouth reconstruction or full mouth rehabilitation. These procedures could be done under local or general anesthesia depending on the cooperation of the patient.

Occlusal Therapy is used to resolve jaw joint and bite problems. The way in which teeth meet together is called an occlusion or a bite. The jaw joint, which keeps the bite aligned, consists of a ball that fits snugly into its socket.

An occlusal splint that fits over the front teeth prevents the sore tooth from all contact and allows the TMJs to seat completely. If there are no structural problems in the jaw joints, pain is eliminated in the tooth as well as the muscles. The principle works the same for any bite interference.

An occlusal splint is often prescribed for nighttime use to reduce the wear and tear on teeth when a serious bruxing or clenching problem is active. In some patients with certain types of structural TMJ disorders, it may be necessary to wear an occlusal splint for an extended period of time.

Computer guided implant surgery is a new technique in implant dentistry which aims at reducing the surgical time in order to eliminate post-operative complications and helping the surgeon and the restorative dentist achieve the optimal implant positions for the best possible results. It combines the use of CBCT imaging and the fabrication of a surgical guide that will be used during surgery to help the surgeon place the implants based on the restorative plan